新闻消息
【新闻动态】我院胸外科完成一例复杂胸腺癌切除手术
近日,中国医学科学院肿瘤医院山西医院(山西省肿瘤医院)胸外科和麻醉科通力合作,完成一例劈胸骨联合右侧开胸胸腺癌切除+右肺上叶切除+左无名静脉血管置换+上腔静脉血管置换+部分心包切除+右侧膈肌折叠术。

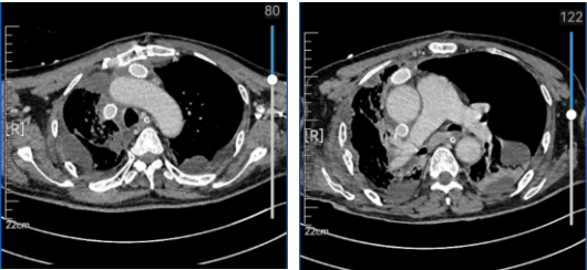
66岁的男性患者罹患纵隔肿瘤多方求医,因肿瘤侵犯大血管而屡次遭拒,几经辗转后到我院胸外科住院治疗。入院并完善相关检查后,诊断为胸腺癌,累及心包、上腔静脉、左无名静脉、右肺上叶。
胸外科医师团队经过充分讨论后,认为对于侵犯上腔静脉的胸腺肿瘤患者,单纯内科治疗、内科联合放射治疗、单纯上腔静脉病变切除术、旁路分流术、血管内支架术等治疗,只能暂时缓解上腔静脉梗阻症状,达不到根治的目的,预后也较差。因此在解除上腔静脉梗阻症状的同时,积极处理原发病灶是治疗关键。
近年来胸腺肿瘤领域研究表明,对于累及胸部大血管的侵袭性胸腺肿瘤应采取积极的手术治疗,如果能做到完全切除,患者获益将会更多。即使是姑息性切除,术后辅以放、化疗,预后也优于单纯放、化疗。但侵犯上腔静脉的恶性胸腺瘤的切除术因高难度、高风险(文献报道死亡率可达4.5%-14%),是公认的胸外科领域内最具挑战性的手术之一。胸外科主任廉建红组织科室医师与麻醉科、ICU医师讨论,对手术过程进行了详细推演,制定出完善的手术方案。与患者和家属充分沟通,说明手术风险,最终经其同意,决定行手术治疗。

术中先实施了剑突下胸腔镜的探查和部分游离探明肿瘤范围和侵犯深度。随后纵劈胸骨开胸,行左无名静脉置换术(左无名与右心耳桥接),切除部分心包及右侧膈神经,行右侧膈肌折叠术。右侧开胸切除右肺上叶,并行上腔静脉置换术。术中实施全身及局部肝素化,防止血栓形成。在麻醉科医师李国华,洁净手术部李婷婷、卜晓霞护士的配合下,手术历经5个小时,顺利完成。术后患者带气管导管安全返回ICU治疗。目前,在重症医学科主任段燕团队的努力下,患者为自主呼吸模式,凝血、心功能基本正常,血管彩超未见明显栓塞。

该手术为胸外科高难度手术之一,对术中手术操作和围手术期麻醉管理要求都非常高。人工血管置换术中、术后易形成血栓,手术操作技术要求高,吻合血管离断时间必须短,使手术难度进一步提高。此次高难度纵隔肿瘤切除术的顺利完成,是我院多学科协作综合实力的体现。今后,胸外科团队将继续努力,精益求精,为患者解决就医难题,为广大人民群众提供更加优质、高效、便捷的医疗服务。
科普小知识
什么是雾气雾化吸入法?有哪些注意事项?
氧气雾化吸入法是利用高速氧气气流,使药液形成雾状悬液,再随呼吸吸入呼吸道,达到治疗的目的。基本原理是利用高速氧气流通过毛细管口并在管口产生负压,将药液由相邻的管口吸出,所吸出的药液又被毛细管口高速的氧气流撞击成细小的雾滴,成气雾状喷出,随患者呼吸进入呼吸道而达到治疗的作用。
应该注意以下几点:
① 氧流量调至6-8升/分,请不要擅自调节氧流量,禁止在有氧设备附近吸烟或出现明火。②雾化前半小时尽量不进食,避免雾化吸入过程中气雾刺激,引起呕吐。③每次雾化完后帮助患者喂水或者漱口,防止口腔粘膜二重感染。
出诊信息

◆为北京专家
●为省优秀专家
预约方式:
(1)电话预约:114、118114;
(2)网上预约:健康山西App、公众号 ;
(3)自助机预约。






晋公网安备14010702074528