新闻消息
【新闻动态】生死时速 盆腔巨瘤合并致命血栓!我院妇瘤科MDT团队7天创造生命奇迹
47 岁的董女士抚摸着逐渐平坦的腹部,难以相信自己从 “被判手术死刑” 到重获新生,只用了短短 7 天——在她体内疯狂生长的18cm盆腔巨瘤,连同威胁生命的双肺栓塞、双下肢静脉血栓,被中国医学科学院肿瘤医院山西医院(山西省肿瘤医院)妇瘤科MDT团队精准“拆解”,上演了一场惊心动魄的生命保卫战。
辗转多院被拒!盆腔巨瘤“绞杀”双重致命危机
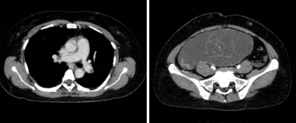
2024年2月,董女士因左小腿疼痛两周就医,CT检查如同晴天霹雳,盆腔内 18.3×17.3cm 的巨瘤几乎填满盆腹腔,肿瘤标志物CA19-9飙升至 10000U/mL 以上,更凶险的是——双下肢深静脉血栓已形成,双肺动脉主干远端、右肺中下叶及左肺下叶布满血栓,随时可能引发致死性肺栓塞!

“就像身体里埋了两颗炸弹,一颗是不断膨胀的肿瘤,另一颗是随时可能脱落的血栓。”当地医院紧急为她植入下腔静脉滤器,但面对手术的极高风险,连续多家医院婉拒了手术请求。随着肿瘤的增长,董女士腹部高高隆起,连卧床翻身都剧痛难忍,生命进入倒计时。
五科联动破局!MDT 团队定制“拆弹”方案
“不能让患者在等待中凋零!”妇瘤科主任赵宏伟紧急启动 MDT多学科会诊,与麻醉科、重症医学科、介入科专家组成“生命护航团”,全面评估手术风险。肿瘤占据几乎整个盆腹腔空间,任何牵拉操作都可能引发血流动力学剧烈波动,导致血栓脱落;而麻醉诱导期的血压波动、术后卧床期的血栓复发,都是致命陷阱。
经过1小时的“头脑风暴”,一套精密方案诞生。术前预处理:介入科精准评估滤器位置,调整抗凝方案降低血栓活性;术中监测:麻醉科建立有创动脉血压监测,每30秒追踪血流动力学数据;手术策略:采用“无瘤原则的基础上缓慢引流囊内积液,避免过快引流积液导致腹腔压力”将单部位操作时间压缩50%;术后管理:ICU提前制定“抗凝-促肺复张-循环支持”三联方案,建立15分钟快速响应机制。

110 分钟极限操作!巨瘤切除与血栓防线同步筑牢
4月11日8:30,手术准时开始。麻醉科杜轶鹏主任医师精准调控麻醉深度,洁净手术部全力配合,王沛副主任医师团队实施手术,仅用110分钟,以短于预期的时间完成巨瘤完整切除,这场“闪电战”为术后恢复抢占了黄金窗口。
术后 48 小时是血栓风险巅峰期:重症医学科董英俊副主任医师团队每日监测D-二聚体指标,通过振动排痰、气压治疗等措施预防血栓再生;护理团队定制体位管理法,在保证伤口愈合的同时避免静脉淤滞。术后第3天董女士自主呼吸平稳,血栓指标降至安全线,从ICU转入普通病房;第7天,她恢复良好带着新生般的笑容办理出院,CT 显示盆腔术区清洁,双肺血栓稳定无进展。
从“7 天生命奇迹”看 MDT 如何成为疑难肿瘤救治“标配”
董女士的顺利康复,是我院MDT诊疗模式的一个缩影。作为国家肿瘤区域医疗中心建设单位,我院正通过“上联国家队、下接基层网”的立体化诊疗体系,让MDT模式惠及更多患者。董女士的故事不仅是一场与死神的赛跑,更是一曲多学科协作的赞歌,在守护生命的战场上,我院MDT团队始终坚信:当专业碰撞出火花,当协作凝聚成力量,每一个生命都值得被全力以赴。
医院地址
院本部:山西省太原市杏花岭区职工新村3号
南院区(乳腺诊疗中心):山西省太原市小店区创新街3号





晋公网安备14010702074528